Measles, also known as rubeola, is a contagious, preventable viral infection. Despite developing an effective vaccine, it causes over 100,000 fatalities each year. The causative organism is the measles virus, a member of the Paramyxoviridae family and the Morbillivirus genus.
The measles virus affects humans and possesses no animal reservoir. It is transmitted by intimate contact, tiny particle aerosols, and respiratory droplet. The incubation period is 10 -14 days. Unvaccinated children are highly susceptible to measles.
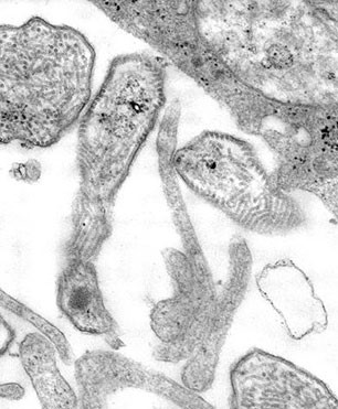
Ultra-thin specimen of measles virus under electron microscope
The blood work confirms lymphopenia, thrombocytopenia, and leukopenia. Electrolyte abnormalities in children with inadequate intake or diarrhea are observed. The presence of measles-virus-specific IgM antibodies in serum or plasma confirms the diagnosis.
These antibodies typically peak 1 to 3 weeks after the onset of a rash and become undetectable by 4 to 8 weeks. The plaque reduction neutralization assay has the highest sensitivity and is the standard gold test.
Measles treatment is primarily supportive and symptomatic. For malnourished children, the WHO advises administering daily dosages of vitamin A for two days or longer.
Mumps is a contagious viral infection caused by the paramyxovirus, a member of the Rubulavirus family. The virus has an incubation period ranging from 7 to 21 days. The upper airway mucosal epithelium undergoes primary replication.
Infection of mononuclear cells in regional lymph nodes causes viremia, which results in systemic inflammation of the salivary glands, central nervous system, ovaries, mammary glands, pancreas, and testicles. The CDC recommends isolation for five days after the onset of parotid swelling.
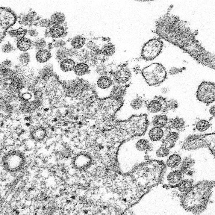
Mumps virus under electron microscope
Mumps infection often begins with a headache, lethargy, fever, malaise, and anorexia, followed by the classic symptom, parotitis.
Two specimens should be collected at the first sign of possible mumps infection: A oral swab for RT-PCR and an acute-phase serum specimen for IgM antibody, IgG antibody, and serum viral RT-PCR.
Oral specimens should be tested within 3 days of parotid gland edema and no later than eight days after symptoms begin.
Symptomatic treatment, analgesics, and cold or hot compresses are helpful for parotid edema. The mumps vaccination is typically administered as a trivalent measles-mumps-rubella (MMR) vaccine.
The vaccination is given in two doses, with children receiving the first dose around one year and the second between the ages of four and six. Vaccination is the most viable and efficient method of prevention.
The varicella-zoster virus causes chickenpox. It results in an itchy, blistering rash. The rash occurs first on the chest, back, and face before spreading throughout the body. The disease is transmitted through close contact with an infected individual.
It can also spread by inhaling the virus particles released by scratched blisters. Symptoms appear 10 to 21 days after exposure, with an average incubation period of two weeks.
Chickenpox can spread one to two days before the infected person develops a rash, spreading until all the blisters become scabs. These patients remain contagious until no new lesions emerge in the next 24 hours.
The infection starts in the mucosa of the upper airways. The virus enters the blood after 2-6 days, and viremia develops after 10-12 days. At this point, the distinctive vesicle emerges.
Calamine lotion used topically may alleviate pruritus. If administered within 24 hours after the onset of the rash, acyclovir reduces symptoms by day one in children.
The fifth disease, also known as erythema infectiosum, is a frequent viral exanthem caused by parvovirus B19. It is common in children between 5 and 15 years of age and occurs primarily during summer and spring. Parvovirus B19 is commonly transmitted via respiratory droplets and exposure to infected blood.
Viremia after parvovirus B19 exposure generally develops within 5 to 10 days, and the patient is contagious for five days after viremia. The typical erythematous malar rash affects the cheeks, with adjacent oral pallor occurring after the first viremia. The rash is known as a slapped-cheek rash and lasts for 4 to 5 days.
A maculopapular rash on the trunk and limbs generally appears after the face rash. As the rash recovers, it has a lacy or reticular appearance. Usually, the palms and soles of the feet remain unaffected. Sun or heat exposure may aggravate the rash.
IgM antibodies are often seen 7 to 10 days after viral infection. These can be detected for 2 to 3 months following viral exposure. IgG antibodies begin to build around two weeks following virus exposure, and the patient confers immunity.
Typically, the disease is self-limiting. The management of erythema infectiosum is based on symptomatic management and supportive care. Antipyretics or NSAIDs are used for fever, arthralgias, or headaches.
Influenza is a contagious disease that affects the respiratory tract. Symptoms include high fever, runny nose, sore throat, and cough. Seasonal influenza outbreaks possess a rapid and efficient spread.
In initial influenza infection, the lungs are usually clean to auscultation; however, scattered rhonchi and crackles can occasionally be heard.
In most healthy individuals, the condition is self-limited after 7 to 10 days of acute symptoms. Initially, at the time of inoculation and reaching a peak, on average, within 48 hours, the virus replicates in the upper and lower respiratory passages.
Antiviral medicine is the first line of treatment for Influenza. Following treatment, resistance may develop in certain individuals, particularly those with compromised immune systems.
Children one year of age and older can take chemoprophylaxis in situations of outbreaks and exposure in high-risk populations. The specimen, such as rapid antigen detection, RT-PCR, molecular assay for viral RNA, and direct and indirect immunofluorescence antibody staining, should be obtained from the infected individuals.
A chest X-ray should be performed on individuals with pulmonary symptoms. Children six months and older should be vaccinated. Vaccination is a better method for the prevention of infection.
This disease is caused by the coxsackievirus A16 and enterovirus A71, Picornaviridae family. It affects almost equally both genders; however, previous epidemiological data suggest that males are slightly more susceptible to infection.
The majority of coxsackievirus infections occur in children younger than 10 years old. The lips, feet, hands, and rarely the genitalia and buttocks are the areas most affected. Following ingestion, the virus multiplies in the pharynx and lymphoid tissue of the lower intestine before spreading to the nearby lymph nodes.
The most prevalent symptom of the disease is throat or mouth pain followed by enanthem. The presence of vesicles that rupture and develop into cutaneous ulcers with a grey-yellow base and an erythematous border over time.
Papular, vesicular, or macular exanthems are possible. The lesions usually are painless and non-pruritic. A stool sample should be collected as the virus is detectable in the feces till 6 weeks after infection.
Light microscopy of scrapings or biopsies of vesicles is necessary to differentiate this disease from other infectious diseases caused by herpes simplex virus and varicella zoster virus. IgG levels are monitored for recovery.
This disease is mild and requires symptomatic management and resolves within 7 to 10 days. Fever and pain are managed with antipyretics and NSAIDs. Dehydration should be avoided. Medicated gargles such of liquid diphenhydramine and ibuprofen are recommended.
SARS-CoV-2 belongs to the coronavirus family. These viruses affect humans as well as certain animals. Human-to-human transmission occurs through the spread of the virus via respiratory droplets.
It can also be transferred by contacting a virus-infected surface and touching one’s lips, nose, or eyes, though this is less common. Children infected with SARS-CoV-2 may exhibit upper respiratory, gastrointestinal, or no symptoms at all.
Cough and fever are the most prevalent symptoms in children. In the United States, one in every three children hospitalized with COVID-19 was admitted to the critical care unit, a proportion comparable to that of adults.
The incubation period is similar in children and adults, ranging from 2 to 14 days on average. While children infected with SARS-CoV-2 are less likely than adults to acquire the severe disease, they are at risk of acquiring severe illness and complications with COVID-19.
Nucleic acid or antigen testing is recommended to confirm an acute infection with SARS-CoV-2. Mild alterations in white blood cell count and slightly elevated inflammatory markers such as procalcitonin and liver enzymes are typical laboratory results in children with COVID-19.
Radiologic features include unilateral or bilateral infiltrates on chest radiographs or CT, ground-glass opacities, and consolidation with surrounding Halo sign on CT. CT scans are only performed on hospitalized, symptomatic patients with clinical criteria.
There are currently no medications authorized by the US Food and Drug Administration to treat COVID-19 in children.
Children with COVID-19 have much lower hospitalization rates than adults, indicating that children may have less severe sickness from COVID-19 than adults.
COVID-19 treatment is primarily supportive, and it comprises preventing and managing complications.
testing purpose

Both our subscription plans include Free CME/CPD AMA PRA Category 1 credits.

On course completion, you will receive a full-sized presentation quality digital certificate.
A dynamic medical simulation platform designed to train healthcare professionals and students to effectively run code situations through an immersive hands-on experience in a live, interactive 3D environment.

When you have your licenses, certificates and CMEs in one place, it's easier to track your career growth. You can easily share these with hospitals as well, using your medtigo app.


