Measles is an airborne and one of the most contagious diseases; up to 9 out of 10 susceptible people in close contact with a measles patient will contract the disease. The virus is transmitted through direct contact with infectious droplets or via the airborne route when an infected person coughs or sneezes.
The virus remains active and contagious in the air or on infected surfaces for up to 2 hours. It can be transmitted by an infected person from 4 days prior to the onset of the rash to 4 days after the rash erupts.
Koplik spots observed on the buccal mucosa
It is characterized by an onset of high-grade fever that lasts 4 to 7 days after exposure, malaise, cough, coryza, and conjunctivitis – the three “C’s.” Koplik spots (white spots on the buccal mucosa) and a maculopapular rash appear after a few days of exposure.
The rash primarily appears on the face and upper neck, spreads over three days, eventually advancing to the hands and feet, and lasts up to 5 to 6 days before subsiding. The rash appears on average 14 days after viral contact.
Measles epidemiology varies around the globe and is linked to vaccination levels attained in a given location. Before implementing comprehensive immunization programs, measles was responsible for an estimated 2.6 million fatalities.
Despite immunization in the modern period, the World Health Organization recorded 134,200 fatalities (15 deaths per hour) from measles in 2015. A total of 55 measles cases has been recorded by 5 countries as of November 24, 2022.
Non-purulent conjunctivitis and facial rash.
Since the beginning of the COVID-19 pandemic, immunization coverage against measles has been progressively declining. Nearly 40 million children missed the measles vaccination in 2021. Of those, 25 million children missed their first dose, and an additional 14.7 million kids missed their second dose.
Millions of children are at risk of infection due to this decline, which represents a significant setback in efforts to eradicate measles globally. Even though measles is one of the most infectious human diseases, vaccinations may eliminate it.
Coverage of 95% or higher of two doses of measles-containing vaccination is required to protect the population and achieve and sustain measles eradication.
Measles morbillivirus under electron micrograph
The measles virus has no animal reservoir and exclusively affects humans. Measles is spread by respiratory droplets, particle aerosols, and intimate contact. Although more extended periods have been documented, the incubation period is 10 to 14 days. The virus is highly infectious, with each case having the potential to cause 14 to 18 secondary infections among susceptible populations.
Young children are most frequently affected by measles, which is highly contagious among unvaccinated and pregnant women. Due to rising vaccination coverage rates and changes in the levels of population immunity at various ages, there has been a recent transition to older kids.
The virus initially infects the dendritic cells, lymphocytes, and alveolar macrophages of the respiratory tract and later spreads throughout the circulation, causing viremia before migrating to distant organs and adjacent lymphoid tissue.
When a person coughs or sneezes, the virus in their lymphocytes and dendritic cells spreads to their respiratory tract epithelial cells, cleared, and discharged as respiratory droplets, infecting others and continuing the cycle. The early inflammation causes cough, coryza, and conjunctivitis.
Following spread, lymphocytic and perivascular infiltrates induce a cutaneous rash. The measles virus suppresses interferon production during the prodromal phase by using its nonstructural proteins, C and V, to lower host immunity. The escalating viral replication then induces humoral and cellular immune responses.
Increased plasma levels of Th1-dependent interferon-gamma during the acute phase and subsequent increases in Th2-dependent interleukin 4, interleukin 13 levels, and interleukin 10 cellular immune responses are crucial for recovery. The typical Warthin-Finkeldey large cells in lymph node biopsy are seen against a paracortical hyperplasia background.
Immunosuppression brought on by the measles virus has been reported to endure for weeks, months, or even years. Due to this, individuals are more vulnerable to bacterial and other secondary illnesses.
Due to the host’s increased vulnerability to subsequent infections, this causes the majority of the morbidity and death related to measles. The neutralizing IgG antibodies provide lifelong protection against hemagglutinin, which prevents host cell receptors from attaching to the virus.
The diagnosis of measles is based on a strong clinical suspicion, especially in children with fever and a maculopapular rash. A total blood count may reveal leukopenia, specifically lymphopenia and thrombocytopenia. Children with inadequate intake or diarrhea may have abnormal electrolyte levels.
The diagnosis is confirmed when measles-virus-specific IgM antibodies are found in serum or plasma. These antibodies often peak between 1 to 3 weeks of the rash’s onset and decrease by 4 to 8 weeks. Nasopharyngeal secretions can also be used to cultivate the measles virus.
The most frequently used method in clinical practice today for detecting viral ribonucleic acid is the polymerase chain reaction, which has a sensitivity near 100%.
Measles increases the risk of maternal death, spontaneous abortion, intrauterine fetal death, and low birth weight babies in pregnant women. Unvaccinated pregnant women with measles may exhibit symptoms like a low-grade fever, joint pain, swollen lymph nodes, and maculopapular rash.
The four days before and four days after the rash appears are when an infection is most contagious, coinciding with the highest viremia levels and the symptoms of cough, coryza, and conjunctivitis.
Passive antibody transfer protects young children delivered to women with acquired immunity against measles, but when these antibodies diminish, they become vulnerable.
Vaccinated adult male with secondary syphilis presented with measles rash after outbreak.
Measles is a highly contagious disease. It can infect an unvaccinated individual at any stage of life. Depending on their immunity status, vaccinated individuals are also at risk of getting infected. Individuals with immunocompromised status are at higher risk such as STDs, Cancer, and Ongoing radiation therapy.
Measles is preventable since a safe, economical, and effective vaccination is available. The vaccine is a live attenuated measles strain that may be administered independently or as part of a combination vaccination (MMR, MMR-V)
Recommended dose: Children receive two doses of MMR (measles-mumps-rubella) vaccination, the first at 12 to 15 months of age and the second at 4 to 6 years of age. Children can have the second dosage sooner if it is at least 28 days after the first.
There is no specific antiviral therapy for measles; instead, supportive care is the mainstay of treatment. The treatment focuses on management of fever, the prevention and correction of dehydration, and efforts to prevent and control infection, including proper isolation. The WHO advises administering daily vitamin A doses for malnourished children for at least two days.
This treatment restores low vitamin A levels even in well-nourished children during measles and can help prevent eye damage and blindness. Early detection of measles complications is essential, as is the beginning of effective treatment.
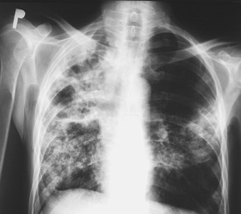
Measles patient with a complication of respiratory failure
Infants, pregnant women, and malnourished children with impaired immune systems are most likely to have complications from measles. The most frequent complication is pneumonia, which can be brought on by a subsequent bacterial infection or the measles virus (Hecht giant cell pneumonia).
Croup, otitis media, and diarrhea from secondary infections are some additional complications. Measles keratoconjunctivitis, which can result in blindness, most frequently affects young children with vitamin A deficiency.
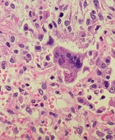
A photomicrograph of a lung tissue specimen reveals the histopathologic changes encountered in a case of measles pneumonia. Numerous leukocytes and multinucleated giant cells with intracytoplasmic inclusions were observed.
A poor prognosis is likely, even though many individuals with measles recover without complications. Otitis media and diarrhea are two typical side effects of measles infection. Otitis media may result in hearing loss.
Infants and young children under the age of five, individuals over the age of 20, pregnant women, and those with impaired immune systems are more prone to experience complications.
1 in 1000 infected children may develop encephalitis, and 1-2 of all infected children may die from measles-related neurologic or respiratory complications.
November 7, 2022

Both our subscription plans include Free CME/CPD AMA PRA Category 1 credits.

On course completion, you will receive a full-sized presentation quality digital certificate.
A dynamic medical simulation platform designed to train healthcare professionals and students to effectively run code situations through an immersive hands-on experience in a live, interactive 3D environment.

When you have your licenses, certificates and CMEs in one place, it's easier to track your career growth. You can easily share these with hospitals as well, using your medtigo app.


